Zum Hauptinhalt springen

Keramik-Inlays – unsichtbar, fest und langlebig

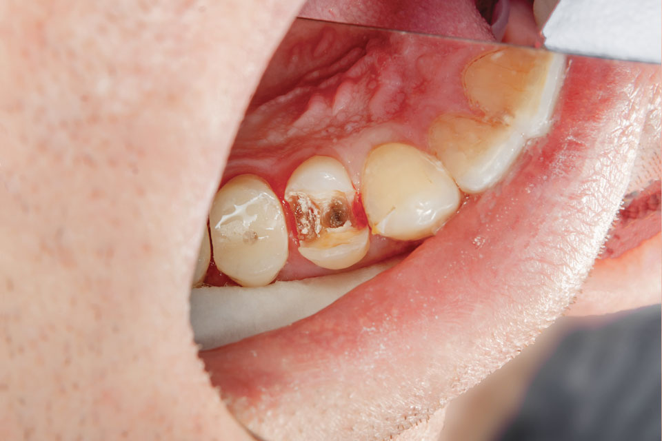
Mit Inlays oder Onlays aus Keramik restaurieren wir Zähne, wenn eine Füllung nicht ausreicht. Dafür vermessen wir genauestens Ihren defekten Zahn und seine Nachbarn. Im Labor wird ein „Ersatzteil“ aus Keramik erstellt, das wie ein winziges Puzzlestückchen perfekt in den Defekt passt. Dieses verbinden wir mit einem starken Kleber fest und dicht mit dem Zahn.

Ohne Keramik Inlay
Mit Keramik Inlay

Zahnoberflächen so schön wie echt

Moderne Dentalkeramik imitiert erstaunlich gut die biologische Zahnsubstanz – ästhetisch und funktional. Die Hochleistungs-Keramik ist leicht durchscheinend und changiert im Licht genauso wie der natürliche Zahnschmelz. Beim Kauen ist sie extrem belastbar und hält lange – das garantieren wir Ihnen: für 5 Jahre, wenn Sie an unserem Prophylaxe-Programm teilnehmen.

3D-Rendering vom Einsetzen der Inlays